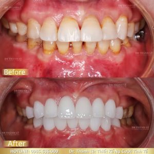
Bọc răng sứ là giải pháp thẩm mỹ nha khoa được nhiều người quan tâm nhờ khả năng cải thiện nhanh chóng hình dáng, màu sắc và chức năng của răng. Tuy nhiên, không ít khách hàng thắc mắc bọc răng sứ bao nhiêu tuổi thì được và liệu độ tuổi có ảnh hưởng đến độ an toàn cũng như hiệu quả lâu dài hay không. Tại Nha Khoa Dr Thành Lê – Đống Đa Hà Nội, chúng tôi sẽ giúp bạn hiểu rõ độ tuổi phù hợp để bọc răng sứ, từ đó đưa ra quyết định đúng đắn cho sức khỏe răng miệng của mình.
Bao Nhiêu Tuổi Thì Bọc Răng Sứ Được?
Để trả lời cho câu hỏi “bao nhiêu tuổi thì bọc răng sứ được”. Theo các bác sĩ nha khoa cho biết, độ tuổi lý tưởng nhất để thực hiện làm răng sứ là từ 18 tuổi trở lên. Bởi đây là giai đoạn đã hình thành đủ răng vĩnh viễn. Xương hàm đã phát triển toàn diện và có độ cứng chắc ổn định. Can thiệp bọc sứ ở độ tuổi này có thể đảm bảo tốt về mặt thẩm mỹ, giúp cho việc ăn nhai trở nên tốt hơn.
Tuy nhiên, một yếu tố khác cũng quan trọng không kém để quyết định có nên bọc sứ hay không sẽ còn tùy thuộc tình trạng răng. Để biết trường hợp bạn đã có thể bọc sứ hay chưa cần phải được kiểm tra bởi bác sĩ chuyên thẩm mỹ răng sứ. Do đó, nếu cân nhắc muốn làm răng sứ bạn nên đến nha khoa uy tín để bác sĩ chẩn đoán và có chỉ định phù hợp.
Bọc sứ thẩm mỹ giá rẻ Đống Đa Hà Nội
Tác Hại Nếu Bọc Răng Sứ Quá Sớm
Làm răng sứ quá sớm có thể dẫn đến một số tác hại sau:
+ Ảnh hưởng đến sự phát triển tự nhiên của răng và xương hàm:
Trẻ từ 13, 14, 15, 16 hoặc 17 tuổi cả răng và xương hàm vẫn đang trong giai đoạn phát triển. Việc mài răng để bọc sứ quá sớm có thể làm thay đổi cấu trúc răng khiến chúng dễ mọc lệch. Nghiêm trọng hơn có thể bị sai lệch khớp cắn sau này.
+ Nguy cơ ảnh hưởng đến tủy răng:
Răng chưa phát triển hoàn thiện thường có buồng tủy lớn và nhạy cảm hơn. Khi mài răng để bọc sứ, nguy cơ chạm tủy hoặc gây tổn thương tủy rất cao, dẫn đến đau nhức, ê buốt kéo dài. Trường hợp nặng có thể phải điều trị tủy hoặc thậm chí mất răng sớm.
+ Tuổi thọ răng sứ bị rút ngắn:
Bọc sứ khi răng thật vẫn đang phát triển sẽ khiến mão sứ nhanh chóng bị lệch, hở viền hoặc kênh cộm. Điều này không chỉ ảnh hưởng đến thẩm mỹ mà còn làm giảm đáng kể tuổi thọ của răng sứ.
+ Tốn kém chi phí và phải can thiệp nhiều lần:
Bọc sứ quá sớm đồng nghĩa với việc bạn có thể phải làm lại 1–2 lần khi răng và xương hàm thay đổi. Mỗi lần thay răng sứ đều tốn kém chi phí, thời gian và công sức. Ngoài ra, việc mài răng nhiều lần sẽ làm răng thật yếu đi, dễ gãy vỡ hoặc mắc bệnh lý răng miệng.
Bọc Răng Sứ Tại Nha Khoa Dr Thành Lê – Đống Đa Hà Nội
Để quá trình bọc răng sứ đạt hiệu quả tối ưu và tránh những biến chứng không mong muốn thì việc lựa chọn cơ sở nha khoa có vai trò rất quan trọng. Nha Khoa Dr Thành Lê tự hào là hệ thống nha khoa uy tín tại Đống Đa Hà Nội. Với số lượng khách hàng đông đảo, đội ngũ bác sĩ tay nghề cao, tranh thiết bị tân tiến. Nha Khoa Dr Thành Lê đã và đang là địa chỉ bọc răng sứ được nhiều khách hàng tin tưởng do đáp ứng được các tiêu chí sau đây:
Bọc răng sứ giá rẻ thẩm mỹ an toàn tại Đống Đa Hà Nội
+ Đội ngũ bác sĩ chuyên môn cao, giàu kinh nghiệm:
Đội ngũ bác sĩ phục hình thẩm mỹ chuyên sâu, nhiều năm kinh nghiệm. Với khả năng phân tích tình trạng răng chính xác, ứng dụng những công nghệ hiện đại để vẽ lại đường cười cho mỗi ca chữa trị. Cùng với kĩ thuật chuẩn xác, phát đồ điều trị phù hợp sẽ giúp khách hàng vô cùng hài lòng về kết quả mang lại.
+ Trang thiết bị, công nghệ hiện đại:
Nha khoa được đầu tư các trang thiết bị, công nghệ hiện đại được nhập khẩu trực tiếp từ nước ngoài như: máy CT Cone Beam, máy Xquang 3 chiều kỹ thuật số Gendex GXDP-700 Series phòng điều trị vô trùng cực tím, phần mềm thiết kế nụ cười Digital Smile Design, hệ thống Labo CAD/CAM inlab MCX … giúp chẩn đoán chính xác nguyên nhân và hỗ trợ tối đa trong suốt quá trình điều trị.
+ Vật liệu răng sứ cao cấp:
Nha khoa cam kết sử dụng các vật liệu sứ chính hãng đến từ Đức: Zirconia DDBio, Cercon HT, Titanium, Lava Plus… đều là những dòng răng sứ chất lượng cao được hiệp hội nha khoa quốc tế khuyên dùng.
+ Quy trình bọc sứ chuẩn y khoa:
Quy trình bọc răng sứ tại Nha Khoa Dr Thành Lê được thực hiện theo các bước chuẩn y khoa. Từ bước khám – chụp X-quang – điều trị bệnh lý (nếu có) – mài răng trong giới hạn an toàn – lấy dấu – chế tác mão sứ – gắn mão sứ. Mỗi bước đều được giám sát chặt chẽ để đảm bảo an toàn và hiệu quả.
+ Hệ thống vô trùng khép kín, hiện đại:
Phòng tiểu phẫu được vô trùng cự tím để tránh lây nhiễm chéo và đảm bảo an toàn cho khách hàng trong suốt quá trình điều trị.
Giải Đáp Một Số Thắc Mắc Về Bọc Răng Sứ
Trẻ từ 13, 14, 15, 16 hay 17 tuổi có bọc răng sứ được không? đang là thắc mắc của rất nhiều phụ huynh. Do tình trạng răng miệng của mỗi bé là khác nhau. Có trẻ mọc răng sữa và thay răng vĩnh viễn từ rất sớm. Ngược lại có bé mọc răng và thay răng vĩnh viễn khá chậm. Giai đoạn dưới 18 tuổi cả răng và xương hàm của bé vẫn chưa phát triển ổn định.
Do đó bác sĩ không khuyến khích bọc sứ cho trẻ trong thời gian này. Mặt khác, răng sứ cần được cố định trên răng vĩnh viễn. Nếu trẻ thay răng trễ và còn răng sữa trên cùng hàm thì kết quả làm răng sứ sẽ không được tối ưu. Khi răng vĩnh viễn trồi lên, răng sữa rụng đi sẽ kéo theo mất đi mão răng sứ.
Không khuyến khích trẻ bọc răng sứ quá sớm trừ những trường hợp đặc biệt
Mặc dù bọc sứ quá sớm cho trẻ không được các bác sĩ khuyến khích. Tuy nhiên, trong một vài trường hợp đặc biệt có thể can thiệp đến bọc sứ cụ thể là:
- Răng vĩnh viễn của trẻ bị sâu quá lớn không thể trám
- Trẻ đã thực hiện chữa tủy răng vĩnh viễn
- Răng vĩnh viễn bị mòn men răng, chân răng nghiêm trọng
Tóm lại, để có đáp án chính xác cho việc trẻ từ 13, 14, 15, 16 hay 17 tuổi có được bọc răng sứ hay không cần được quyết định bởi nha sĩ có nhiều năm kinh nghiệm. Thông qua quá trình thăm khám tổng quát, chụp phim X-quang bác sĩ sẽ có giải pháp khắc phục phù hợp với mỗi trẻ.
Có thể thấy, bọc răng sứ không phụ thuộc hoàn toàn vào con số tuổi tác mà quan trọng hơn là tình trạng răng miệng, cấu trúc răng và nhu cầu điều trị của từng người. Việc thăm khám và tư vấn trực tiếp với bác sĩ chuyên môn sẽ giúp xác định thời điểm bọc răng sứ an toàn và hiệu quả nhất. Nếu bạn còn băn khoăn về độ tuổi phù hợp để bọc răng sứ, hãy đến Nha Khoa Dr Thành Lê – Nha Khoa giá rẻ Đống Đa Hà Nội để được đội ngũ bác sĩ giàu kinh nghiệm thăm khám và tư vấn giải pháp tối ưu, giúp bạn tự tin với nụ cười khỏe đẹp dài lâu.
—————————————
HỆ THỐNG NHA KHOA THẨM MỸ DR THÀNH LÊ
CƠ SỞ HÀ NỘI
Địa chỉ: 73 Hoàng Cầu (Tầng 7)
Điện thoại: 0985.636.000




