Một nụ cười tươi tắn cùng hàm răng trắng sáng tự nhiên luôn là điều mà nhiều người mong muốn, bởi nó giúp bạn tự tin hơn và tạo thiện cảm ngay từ cái nhìn đầu tiên. Tuy nhiên, với những khách hàng đã phục hình răng sứ, câu hỏi thường gặp là: Răng sứ có thể tẩy trắng giống như răng thật hay không? Đây cũng là băn khoăn mà đội ngũ Nha Khoa Dr Thành Lê – Nha Khoa giá rẻ Đống Đa Hà Nội tiếp nhận rất thường xuyên. Để giúp bạn hiểu rõ vấn đề, chúng tôi sẽ giải đáp chi tiết trong phần nội dung dưới đây.
Răng sứ có tẩy trắng được không?
Men răng là lớp mô mỏng bao phủ bên ngoài răng, chứa các tinh thể canxi giúp phản xạ ánh sáng, tạo nên màu sắc trắng sáng cho răng. Thuốc tẩy trắng hoạt động bằng cách thâm nhập vào men răng và phá vỡ các phân tử màu gây ố vàng, giúp răng sáng hơn và chỉ có tác dụng lên men răng thật.
Răng sứ thường được làm từ sứ hoặc các miếng trám răng thẩm mỹ (composite) không có cấu trúc men răng như răng thật. Do đó, thuốc tẩy trắng không thể tác động lên răng sứ và không thể làm thay đổi màu sắc của chúng.
Việc tẩy trắng răng sứ không những không hiệu quả mà còn có thể dẫn đến một số hậu quả nghiêm trọng như:
Ảnh hưởng đến thẩm mỹ
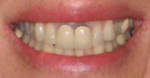
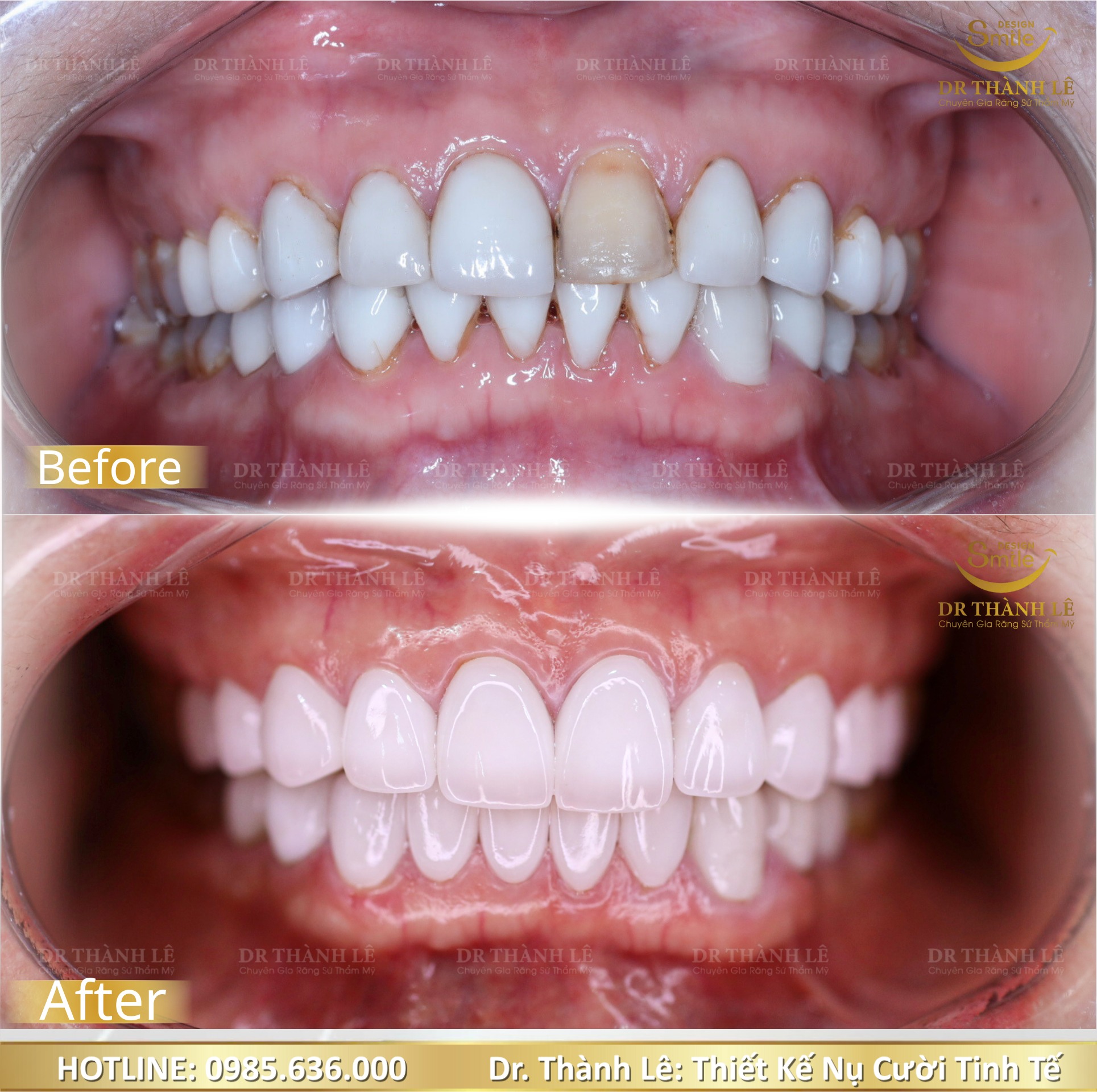
+ Răng sứ sẫm màu: Việc tẩy trắng răng thật mà không tẩy trắng răng sứ sẽ khiến răng sứ có màu tối hơn so với răng thật, gây mất cân đối về màu sắc và ảnh hưởng đến thẩm mỹ nụ cười.
+ Bề mặt răng không đồng đều: Thuốc tẩy trắng có thể tác động không đồng đều lên răng thật và răng sứ, dẫn đến tình trạng bề mặt răng không đồng đều màu sắc, tạo cảm giác “loang lổ”.
Răng sứ bị sẫm màu
Gây hại cho sức khỏe
+ Kích ứng da, niêm mạc: Thuốc tẩy trắng có thể gây kích ứng da, niêm mạc miệng và môi nếu không được sử dụng đúng cách.
+ Gây dị ứng: Một số người có thể bị dị ứng với các thành phần trong thuốc tẩy trắng, dẫn đến các triệu chứng như nổi mẩn đỏ, ngứa ngáy, sưng tấy.
+ Ảnh hưởng đến thai nhi: Phụ nữ mang thai và cho con bú không nên tẩy trắng răng vì chưa có đủ bằng chứng về tính an toàn của thuốc tẩy trắng đối với thai nhi và trẻ nhỏ.
Do những hậu quả nguy hiểm trên, Cô Chú, Anh Chị nên tuyệt đối tránh tẩy trắng răng sứ. Thay vào đó, hãy tham khảo ý kiến nha sĩ để có phương pháp cải thiện màu sắc răng phù hợp, đảm bảo an toàn và hiệu quả.
Nguyên nhân khiến răng bọc sứ bị xuống màu, ố vàng
Răng sứ tuy có độ bền cao và tính thẩm mỹ tốt, nhưng sau một thời gian sử dụng, răng sứ vẫn có thể bị xuống màu, ố vàng. Dưới đây là một số nguyên nhân chính dẫn đến tình trạng này:
Chất liệu răng sứ
Chất lượng răng sứ đóng vai trò quan trọng trong việc duy trì màu sắc trắng sáng lâu dài.
Răng sứ kim loại là loại răng sứ được làm từ khung kim loại bên trong và lớp sứ phủ bên ngoài. Kim loại bên trong, thường là hợp kim niken-crom, có thể bị oxy hóa theo thời gian, dẫn đến tình trạng răng sứ bị đổi màu, ố vàng.
Răng sứ không kim loại là loại răng sứ này không chứa thành phần kim loại, do đó ít bị oxy hóa hơn. Tuy nhiên, nếu chất lượng sứ không tốt hoặc quy trình sản xuất không đảm bảo, thì răng sứ không kim loại cũng có thể bị xuống màu, ố vàng sau một thời gian sử dụng.
Ngoài ra, việc sản xuất răng sứ thủ công có thể dẫn đến sai sót trong quá trình chế tác, khiến cho răng sứ không được khít sát với nướu, tạo điều kiện cho vi khuẩn và mảng bám xâm nhập vào bên trong, gây ra tình trạng đổi màu, ố vàng.
Việc sản xuất răng sứ bằng máy móc hiện đại sẽ đảm bảo độ chính xác cao hơn, giúp răng sứ được khít sát với nướu, hạn chế sự xâm nhập của vi khuẩn và mảng bám, từ đó giúp răng sứ giữ được màu sắc trắng sáng lâu hơn.
Răng sứ bị sẫm do chất liệu sứ
Do tay nghề bác sĩ
Tay nghề bác sĩ đóng vai trò quan trọng trong việc đảm bảo chất lượng răng sứ và ngăn ngừa tình trạng xuống màu, ố vàng xảy ra như:
+ Lấy dấu răng không chính xác
Lấy dấu răng không chính xác sẽ dẫn đến việc chế tác mão sứ không khít sát với cùi răng thật. Khi đó, sẽ có khe hở nhỏ giữa mão sứ và cùi răng, tạo điều kiện cho vi khuẩn và mảng bám tích tụ, lâu dần dẫn đến tình trạng đổi màu, ố vàng. Ngoài ra, việc lấy dấu răng không chính xác còn có thể khiến mão sứ bị cộm cấn, khó chịu khi ăn nhai.
+ Chế tác mão sứ không đúng kỹ thuật
Nếu mão sứ được chế tác không đúng kỹ thuật, có thể dẫn đến các lỗi như:
- Độ dày mỏng không đều: Mão sứ quá dày có thể khiến nụ cười trông thô kệch, thiếu tự nhiên. Mão sứ quá mỏng có thể dễ bị sứt mẻ, nứt vỡ.
- Bề mặt mão sứ không nhẵn mịn: Bề mặt mão sứ không nhẵn mịn sẽ tạo điều kiện cho vi khuẩn và mảng bám dễ dàng bám dính, gây ra tình trạng đổi màu, ố vàng.
- Màu sắc mão sứ không phù hợp: Màu sắc mão sứ không phù hợp với màu răng thật sẽ khiến nụ cười trông thiếu thẩm mỹ.
Lắp đặt mão sứ không đúng kỹ thuật
Mão sứ không khít sát với cùi răng thật: Khi đó, sẽ có khe hở nhỏ giữa mão sứ và cùi răng, tạo điều kiện cho vi khuẩn và mảng bám tích tụ, lâu dần dẫn đến tình trạng đổi màu, ố vàng.
Mão sứ bị kênh lệch: Mão sứ bị kênh lệch có thể khiến người dùng cảm thấy khó chịu khi ăn nhai, thậm chí có thể gây tổn thương nướu.
Chế độ ăn uống
Răng sứ, mặc dù được chế tác từ vật liệu nhân tạo, nhưng vẫn có thể bị ảnh hưởng bởi chế độ ăn uống. Sau một thời gian sử dụng, răng sứ vẫn có thể bị xuống màu, ố vàng, đặc biệt là nếu Cô Chú, Anh Chị có chế độ ăn uống không hợp lý:
- Thực phẩm và đồ uống có màu
Thực phẩm và đồ uống có màu sẫm như cà phê, trà, nước ngọt có ga, nước tương, nước mắm,… có chứa các chất tạo màu tự nhiên hoặc nhân tạo, dễ dàng bám dính trên bề mặt răng, lâu dần dẫn đến tình trạng răng bị ố vàng.
Một số loại trái cây và rau củ như dâu tây, việt quất, củ dền,… cũng có chứa các sắc tố tự nhiên có thể làm răng bị ố vàng tạm thời.
- Thực phẩm chứa axit
Thực phẩm và đồ uống chứa nhiều axit như trái cây họ cam quýt, nước chanh, nước giấm,… có thể làm mòn men răng, khiến cho bề mặt răng trở nên nhám và dễ bám màu hơn.
Việc tiêu thụ quá nhiều thực phẩm chua có thể dẫn đến tình trạng xói mòn men răng, lộ lớp ngà màu vàng, khiến răng trông sẫm màu hơn.
Hút thuốc lá
Hút thuốc lá là một trong những nguyên nhân hàng đầu gây ra tình trạng răng ố vàng. Trong khói thuốc lá có chứa nhiều chất độc hại, bao gồm nicotine và tar, có thể bám dính trên bề mặt răng và gây ra tình trạng đổi màu.
Ngoài ra, hút thuốc lá còn làm giảm lượng nước bọt trong miệng, khiến cho răng không được làm sạch hiệu quả, tạo điều kiện cho vi khuẩn phát triển và gây ra tình trạng ố vàng.
Hút thuốc lá gây vàng răng
Răng bọc sứ bị xỉn màu thì nên làm gì?
Răng sứ bị đổi màu là vấn đề khá phổ biến, khiến nhiều người mất tự tin khi giao tiếp. Để giải quyết vấn đề này cần xác định nguyên nhân chính xác và áp dụng phương pháp khắc phục phù hợp.
+ Xác định nguyên nhân
Bước đầu tiên là xác định nguyên nhân khiến răng sứ bị đổi màu. Có nhiều nguyên nhân dẫn đến tình trạng này, bao gồm:
- Chất lượng răng sứ
- Kỹ thuật bọc sứ
- Chế độ ăn uống
- Vệ sinh răng miệng kém
- Hút thuốc lá
- Tuổi thọ răng sứ…
+ Thăm khám tại cơ sở y tế
Sau khi xác định được nguyên nhân, bạn cần tham khảo ý kiến Bác sĩ để được tư vấn phương pháp xử trí phù hợp. Bác sĩ nha khoa sẽ dựa vào nguyên nhân và mức độ xỉn màu của răng để đưa ra phương pháp điều trị phù hợp nhất.
Các phương pháp xử trí phổ biến
Một số phương pháp xử trí tình trạng răng sứ xỉn màu, ố vàng phổ biến hiện nay đang được áp dụng như:
- Thay thế keo dán răng sứ: Nếu keo dán răng sứ bị lão hóa, nhiễm màu, bác sĩ sẽ thay thế bằng loại keo dán mới phù hợp.
- Điều trị viêm tủy răng: Nếu răng sứ bị đổi màu do viêm tủy, cần phải điều trị viêm tủy trước, sau đó mới có thể khắc phục tình trạng đổi màu.
- Thay thế mão sứ: Nếu răng sứ bị đổi màu nặng, nứt vỡ, bong tróc lớp men sứ cần phải thay thế mão sứ mới.
- Bọc lại sứ thẩm mỹ: Nếu răng sứ bị đổi màu do tuổi thọ răng sứ giảm sút có thể bọc sứ thẩm mỹ mới để cải thiện màu sắc và hình dạng của răng.
Bọc sứ thẩm mỹ giá rẻ tại Đống Đa Hà Nội
+ Chăm sóc răng miệng sau khi xử trí
Sau khi xử trí răng sứ bị đổi màu, bạn cần chăm sóc răng miệng kỹ lưỡng để bảo vệ răng sứ và ngăn ngừa tình trạng xỉn màu quay trở lại:
- Nên chải răng ít nhất 2 lần mỗi ngày, sử dụng chỉ nha khoa và nước súc miệng thường xuyên.
- Hạn chế sử dụng thực phẩm và đồ uống có màu sẫm.
- Bỏ hút thuốc lá.
- Đi khám nha khoa định kỳ 6 tháng/lần để được nha sĩ kiểm tra sức khỏe răng miệng và phát hiện sớm các vấn đề về răng sứ.
Tẩy trắng răng chỉ mang lại hiệu quả đối với mô răng tự nhiên, còn răng sứ thì không thể thay đổi màu bằng các phương pháp tẩy trắng thông thường. Vì vậy, để giữ hàm răng luôn trắng sáng và đồng đều, bạn nên lựa chọn loại sứ có chất lượng tốt ngay từ khi phục hình, đồng thời tuân thủ chế độ chăm sóc răng miệng theo đúng chỉ dẫn của bác sĩ.
Nếu bạn còn băn khoăn hoặc muốn được kiểm tra – tư vấn cụ thể hơn, hãy ghé thăm Nha Khoa Dr Thành Lê – Nha Khoa giá rẻ Đống Đa Hà Nội. Với đội ngũ bác sĩ tay nghề cao cùng trang thiết bị hiện đại, chúng tôi luôn sẵn sàng đồng hành và mang đến cho bạn nụ cười khỏe đẹp, tự tin mỗi ngày.
—————————————
HỆ THỐNG NHA KHOA THẨM MỸ DR THÀNH LÊ
CƠ SỞ HÀ NỘI
Địa chỉ: 73 Hoàng Cầu (Tầng 7)
Điện thoại: 0985.636.000





