Hô hàm dưới (móm) không chỉ ảnh hưởng đến thẩm mỹ khuôn mặt mà còn gây nhiều khó khăn trong ăn nhai và phát âm, khiến người mắc phải tự ti khi giao tiếp. Ngày nay, với sự phát triển của nha khoa hiện đại, việc điều trị hô hàm dưới đã trở nên đơn giản và hiệu quả hơn với nhiều phương pháp như niềng răng, phẫu thuật chỉnh hàm hay kết hợp cả hai. Tại Nha Khoa Dr Thành Lê – Nha khoa giá rẻ Đống Đa Hà Nội, chúng tôi mang đến giải pháp điều chỉnh hô hàm dưới phù hợp từng trường hợp, giúp khách hàng lấy lại khớp cắn chuẩn và đường nét khuôn mặt cân đối.
Hô hàm dưới là gì?
Hô hàm dưới hay còn gọi là móm, đây là tình trạng khớp cắn có cấu tạo bất thường do bị ngược (hay chính là khớp cắn ngược). Khớp cắn đúng là hàm trên phủ lên hàm dưới, thế nhưng răng hô hàm dưới là hàm dưới sẽ bao trọn hàm trên.
Dấu hiệu hô hàm dưới
Để nhận biết và can thiệp kịp thời, bạn cần hiểu rõ những dấu hiệu đặc trưng của tình trạng này, cụ thể như sau:
+ Hai hàm không đạt tương quan chuẩn khi hàm trên nằm ngoài hàm dưới, bị hàm dưới phủ hoàn toàn.
+ Nhóm răng phía trên có thể tiếp xúc với mặt nhai chuẩn nhưng có thể không tiếp xúc, nhất là khi vòm họng trên quá nhỏ so với hàm dưới.
+ Hàm trên và hàm dưới có thể tiếp xúc với nhau hoặc không tuỳ vào mức độ nặng nhẹ của tình trạng này. Nếu trường hợp nặng, khoảng cách giữa 2 hàm càng cách xa nhau khi để khuôn miệng ở trạng thái bình thường.
+ Phần cằm, mũi và trán bị chuẩn lệch, bị gãy ở giữa khuôn mặt. Do đó, khi nhìn nghiêng bạn sẽ thấy người hô hàm dưới mũi gãy, cằm nhô như mặt lưỡi cày.
+ Đường nối giữa trán và mũi nằm gãy khúc, có thể nằm thẳng nhưng đường thẳng có thể bị lệch trái hoặc phải.
Nguyên nhân hô hàm dưới
Hô hàm dưới có thể bắt nguồn từ nhiều yếu tố khác nhau, bao gồm cả bẩm sinh lẫn thói quen trong quá trình phát triển. Cùng Nha Khoa Dr Thành Lê tìm hiểu nguyên nhân phổ biến dẫn đến tình trạng này.
Hô hàm dưới
+ Do di truyền
Nguyên nhân đầu tiên và chủ yếu dẫn đến tình trạng hàm dưới nhô ra là do yếu tố di truyền. Hiểu đơn giản, khi trong gia đình bạn có ông, bà, bố, mẹ gặp tình trạng này thì theo gen bạn cũng có thể bị hô hàm dưới.
+ Thói quen xấu khiến hàm dưới bị hô
Ở trẻ nhỏ thường xuất hiện các thói quen như mút tay, ngậm ti giả khiến lưỡi không đặt đúng vị trí. Đây chính là nguyên nhân dẫn đến hô hàm dưới ngay từ khi còn nhỏ. Thói quen xấu nếu hình thành trong một thời gian dài sẽ ảnh hưởng đến cấu trúc xương hàm, hướng mọc răng và dẫn đến sai lệch khớp cắn.
+ Mất răng sớm gây hô hàm dưới
Mất răng dù do nguyên nhân bẩm sinh hay tác động mạnh từ bên ngoài, nếu không được khôi phục kịp thời cũng khiến hàm dưới nhô ra, phát triển quá mức. Khi hàm trên bị mất răng, diện tích hàm thu hẹp dần và tạo điều kiện để những chiếc răng còn lại xô vào nhau, từ đó dẫn đến móm. Tình trạng này thể hiện rõ nhất khi răng hàm trên bị mất nhiều.
Hậu quả do hô hàm dưới
Nếu không được điều trị đúng cách, hô hàm dưới có thể gây ra nhiều ảnh hưởng tiêu cực đến cả thẩm mỹ và sức khỏe như sau:
+ Ảnh hưởng đến thẩm mỹ: Răng hàm dưới chìa ra ngoài nhưng hàm trên lại nghiêng vào bên trong tạo nên sự mất cân đối của cả khuôn mặt. Từ đó khiến khuôn mặt bị lệch lạc, đặc biệt nhìn rõ nhất khi nhìn ở góc nghiêng.
+ Ảnh hưởng đến chức năng ăn nhai: Lực tác động của hàm khi nhai thức ăn bị giảm sút do khớp cắn bị ngược. Người bị hô hàm dưới thường hàm phải hoạt động nhiều hơn, gây nhức mỏi khi hoạt động và khả năng xử lý cũng kém đi, dẫn đến các bệnh lý về dạ dày.
+ Ảnh hưởng đến vệ sinh răng miệng: Khớp cắn ngược khiến việc vệ sinh răng trở nên khó khăn cho nhiều khu vực, do đó việc làm sạch cũng gặp trắc trở đối với người mắc phải tình trạng này. Hơn nữa, khi không được vệ sinh kỹ lưỡng, điều này sẽ tạo cơ hội cho vi khuẩn phát triển gây viêm lợi, sâu răng, hôi miệng,…
Phương pháp điều trị hô hàm dưới
Tuỳ theo mức độ sai lệch khớp cắn và độ tuổi, hô hàm dưới được điều trị bằng nhiều cách khác nhau. Dưới đây là các giải pháp phổ biến và hiệu quả hiện nay:
+ Phẫu thuật
Phẫu thuật hàm móm là phương pháp đem đến hiệu quả nhanh chóng chỉ sau một lần thực hiện. Phương pháp này giúp bạn khắc phục hoàn toàn tình trạng hô hàm dưới và khiến bạn có được gương mặt cân đối, hài hoà hơn. Quy trình phẫu thuật được thực hiện như sau:
- Bước 1: Bác sĩ tiến hành rạch một đường vào lợi ngay sau xương hàm ở cả hai bên của hàm dưới.
- Bước 2: Cắt một phần xương hàm dưới, di chuyển nó về sau để đảm bảo sự cân đối trong việc khớp cắn giữa hai hàm trên và dưới.
- Bước 3: Dùng đĩa hoặc vít cố định xương hàm ở vị trí chuẩn.
- Bước 4: Bác sĩ tiến hành khâu kín vết thương.
Sau quá trình phẫu thuật, bệnh nhân nên thực hiện tái khám định kỳ theo lịch hẹn của bác sĩ để giúp họ đánh giá chính xác tình trạng hậu phẫu và thực hiện biện pháp xử lý kịp thời.
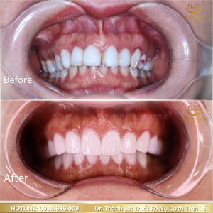
+ Bọc răng sứ
Đây là phương pháp bọc sứ giá rẻ điều trị hô hàm dưới được khá nhiều người lựa chọn khi đang gặp tình trạng này ở mức độ nhẹ. Tuy nhiên, phương pháp này chỉ giúp thay đổi hình thể, màu sắc của răng chứ không khiến cả khối thân chân răng dịch chuyển đến vị trí đúng trên cung hàm.
Với phương pháp này, bác sĩ sẽ dùng một lớp sứ mỏng khoảng 0.2 – 0.5mm bọc cố định bằng keo dán chuyên dụng lên bề mặt sau của răng sau khi chúng đã được mài theo tỷ lệ chuẩn trước đó. Việc sử dụng kỹ thuật này giúp hàm được cân bằng hơn, đảm bảo khớp cắn chuẩn và cải thiện đáng kể khuyết điểm về mặt thẩm mỹ.
Bọc răng sứ giá rẻ Đống Đa Hà Nội
+ Niềng răng
Niềng răng hô hàm là phương pháp được sử dụng phổ biến đối với nhiều người. Phương pháp này sẽ sử dụng dây cung, mắc cài, dây thun,… để tạo lực tác động nhằm đưa răng về vị trí mong muốn. Hiện nay có nhiều loại niềng răng khác nhau cho bạn lựa chọn tùy vào nhu cầu và khả năng tài chính như niềng răng mắc cài kim loại, niềng răng mắc cài sứ, niềng răng mặt trong hay niềng răng trong suốt.
Niềng răng giá rẻ Đống Đa Hà Nội
Điều trị hô hàm dưới không chỉ thay đổi thẩm mỹ mà còn cải thiện chức năng ăn nhai và sức khỏe răng miệng lâu dài. Để đạt hiệu quả tối ưu, việc thăm khám sớm tại cơ sở uy tín là yếu tố quan trọng. Nha Khoa Dr Thành Lê Đống Đa Hà Nội tự hào sở hữu đội ngũ bác sĩ chuyên môn cao, trang thiết bị hiện đại và quy trình điều trị khoa học, cam kết mang lại nụ cười hài hòa, tự tin cho khách hàng. Nếu bạn đang tìm giải pháp chỉnh hô hàm dưới an toàn – hiệu quả – chi phí hợp lý, hãy liên hệ ngay với chúng tôi qua hotline 0985 636 000 để được tư vấn và đặt lịch thăm khám!
—————————————
HỆ THỐNG NHA KHOA THẨM MỸ DR THÀNH LÊ
CƠ SỞ HÀ NỘI
Địa chỉ: 73 Hoàng Cầu (Tầng 7)
Điện thoại: 0985.636.000




