Răng bị mòn là một trong những vấn đề răng miệng phổ biến nhất hiện nay. Tuy nhiên, đa số người bệnh không nhận ra cho đến khi tình trạng đã tiến triển nặng. Lúc này, răng không chỉ ê buốt mà còn yếu đi, nhai kém, thậm chí gây đau hàm, ảnh hưởng thẩm mỹ và chất lượng cuộc sống.

Tại Nha Khoa Dr Thành Lê – Nha khoa giá rẻ Đống Đa Hà Nội, số lượng bệnh nhân đến khám vì răng bị mòn ngày càng tăng, đặc biệt là người trẻ. Phần lớn đều nghĩ răng “mỏng đi” là do di truyền, nhưng thực tế mòn răng liên quan rất nhiều đến thói quen hằng ngày như ăn uống, vệ sinh răng, nghiến răng hoặc sử dụng đồ uống axit.

Bài viết dưới đây sẽ giúp bạn hiểu rõ mòn răng là gì, vì sao xảy ra, dấu hiệu nhận biết, nguy hiểm như thế nào và cách điều trị phục hồi răng hiệu quả – an toàn – tiết kiệm.

Mòn răng là gì? Tại sao răng bị mòn theo thời gian?

Mòn răng là tình trạng lớp men bảo vệ bên ngoài răng bị bào mòn, làm lộ phần ngà răng mềm và nhạy cảm. Men răng là mô cứng nhất trong cơ thể, nhưng không thể tự tái tạo. Một khi đã bị mòn, men răng không thể mọc lại như ban đầu.

bọc sứ

Mòn răng sẽ làm răng dễ nhạy cảm hơn

Khi men răng bị mòn, bạn sẽ gặp các vấn đề:

+ Răng trở nên nhạy cảm và đau buốt, đặc biệt khi uống nước lạnh hoặc khi hít không khí mạnh vào miệng. Điều này khiến nhiều người cảm thấy khó chịu ngay cả trong các hoạt động đơn giản như ăn kem, uống nước đá hay đánh răng buổi sáng.

+ Răng yếu hơn và dễ nứt gãy, vì lớp bảo vệ đã mất đi, khiến răng không còn chịu lực tốt như trước. Những va đập hoặc thói quen nghiến răng nhẹ cũng có thể tạo vết nứt nhỏ, lâu ngày lan rộng thành gãy răng.

+ Bề mặt răng bị mỏng và trong hơn, làm màu răng sậm đi và gây mất thẩm mỹ. Răng mỏng khiến ánh sáng xuyên qua, tạo cảm giác răng trông mờ, yếu và dễ bị tổn thương.

+ Đường viền răng không đều, làm tổng thể nụ cười mất cân đối. Người bị mòn răng lâu năm thường có hàm răng ngắn, bề mặt mòn phẳng – khiến gương mặt trông “già” hơn tuổi thật.

Mòn răng là quá trình diễn ra âm thầm, vì vậy phát hiện và điều trị kịp thời là yếu tố quyết định để bảo vệ răng thật.

Nguyên nhân gây mòn răng

Mòn răng có thể xảy ra do nhiều yếu tố, trong đó phổ biến nhất là:

+ Axit từ thực phẩm và đồ uống chua khiến men răng mềm và dễ bị bào mòn.

+  Chải răng sai cách, dùng bàn chải lông cứng hoặc chải ngang quá mạnh.

+ Nghiến răng khi ngủ, làm răng mài sát vào nhau gây mòn mặt nhai.

+ Thói quen cắn đồ cứng như móng tay, đá lạnh, vỏ hạt.

+  Khô miệng, khiến nước bọt giảm, không đủ bảo vệ men răng.

Dấu hiệu nhận biết răng đang bị mòn

Nhiều người không phát hiện mòn răng cho đến khi răng nhạy cảm hơn bình thường. Tuy nhiên, có những dấu hiệu rất rõ để bạn nhận biết sớm.

Răng ê buốt khi ăn uống hoặc khi chạm vào đồ lạnh

+ Cảm giác buốt nhói như “điện giật” khi uống nước đá, ăn kem hoặc thậm chí khi ăn đồ ngọt là dấu hiệu điển hình của mòn răng.

+ Khi men răng mất đi, các ống ngà bên trong sẽ nhanh chóng phản ứng với nhiệt độ và kích thích, khiến buốt xuất hiện đột ngột và tái diễn nhiều lần trong ngày.

+ Đây thường là dấu hiệu đầu tiên mà bệnh nhân nhận ra, nhưng cũng là lúc men răng đã mòn ở mức đáng kể.

Bề mặt răng mỏng, trong suốt hoặc có vết mòn không đều

+ Khi men răng mất dần, răng sẽ trông mỏng, trong hơn ở viền răng và ánh sáng xuyên qua dễ dàng.

+ Nhiều người nhận thấy răng không còn “đầy đặn” như trước, đặc biệt là răng cửa – trông như bị mài dần theo thời gian.

+ Đây là dấu hiệu mòn răng đang tiến triển và cần kiểm tra ngay để tránh răng yếu đi và dễ gãy.

Xuất hiện rãnh mòn ở cổ răng

+ Khi chải răng mạnh hoặc men răng bị suy yếu, phần cổ răng gần nướu sẽ bị lõm vào, tạo thành một rãnh nhỏ hình chữ V.

+ Rãnh này rất nhạy cảm, chỉ cần đánh răng hoặc uống nước lạnh cũng gây buốt mạnh.

+ Nếu để lâu không điều trị, vùng mòn có thể lan rộng, dẫn đến tụt nướu hoặc lộ ngà răng nghiêm trọng.

Răng yếu, dễ mẻ, dễ nứt hơn trước

+ Khi men răng không còn đủ độ cứng, răng rất dễ bị mẻ khi ăn thực phẩm dai hoặc giòn.

+ Những vết nứt nhỏ không đau nhưng có thể lan dần, làm răng gãy bất kỳ lúc nào.

+ Tình trạng này thường gặp ở người có thói quen nghiến răng hoặc ăn đồ cứng.

Răng đổi màu, xỉn hơn hoặc sần sùi khi chạm bằng lưỡi

+ Men răng bị mòn làm bề mặt trở nên thô ráp, không còn độ bóng mịn.

+ Thức ăn, cà phê, trà dễ bám vào hơn khiến răng xỉn màu nhanh chóng.

+ Đây cũng là dấu hiệu cho thấy men đã mòn đáng kể và ngà đang lộ nhiều hơn.

bọc sứ

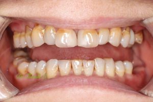
Mòn chân răng, đổi màu răng

Mòn răng nguy hiểm như thế nào nếu không điều trị sớm?

Mòn răng không chỉ là vấn đề thẩm mỹ – nó có thể dẫn đến những hậu quả nghiêm trọng:

+ Đau buốt kéo dài, khiến bạn khó ăn uống, khó tập trung và giảm chất lượng cuộc sống.

+ Sâu răng diễn tiến nhanh, vì ngà răng mềm và dễ bị vi khuẩn xâm nhập hơn.

+ Viêm tủy, gây đau nhức dữ dội, nếu không điều trị kịp có thể phải chữa tủy hoặc thậm chí nhổ răng.

+ Nứt, gãy răng, đặc biệt ở người có thói quen nghiến răng hoặc ăn đồ cứng.

+ Tụt nướu, lộ chân răng, dẫn đến ê buốt nghiêm trọng và khó phục hồi.

+ Sai khớp cắn, gây mỏi hàm, đau đầu và ảnh hưởng quá trình ăn nhai lâu dài.

+ Mất thẩm mỹ khuôn mặt, vì răng mòn làm hàm răng ngắn lại, khiến gương mặt trông già hơn và kém hài hòa.

Tất cả những biến chứng trên đều có thể tránh được nếu điều trị mòn răng sớm tại cơ sở uy tín.

Điều trị mòn răng tại Nha Khoa Dr Thành Lê – Nha khoa giá rẻ Đống Đa Hà Nội

Tùy vào mức độ mòn răng, bác sĩ sẽ đưa ra phác đồ phù hợp nhất:

Trám răng Composite – giải pháp phục hồi nhanh và tiết kiệm

+ Composite được sử dụng để che phủ vùng men bị tổn thương, giúp tái tạo bề mặt răng, giảm ê buốt và ngăn ngừa mòn sâu hơn.

+ Quy trình diễn ra nhanh, không đau, giữ lại toàn bộ răng thật và chi phí rất phải chăng – phù hợp với khách hàng tìm Nha khoa giá rẻ Đống Đa Hà Nội

Dán sứ Veneer – khôi phục răng mòn thẩm mỹ mà vẫn giữ nguyên răng thật

dán sứ veneer

Dán sứ veneer giá rẻ Đống Đa Hà Nội

+ Veneer là lớp sứ siêu mỏng dán lên mặt ngoài răng, giúp phục hồi răng mòn nhẹ đến trung bình.

+ Răng được cải thiện rõ rệt về màu sắc, hình dáng nhưng vẫn giữ được cấu trúc răng tự nhiên.

+ Giải pháp này thích hợp cho trường hợp mòn răng do axit hoặc chải mạnh.

Bọc răng sứ – phục hồi toàn diện cho mòn răng nặng

+ Khi răng bị mòn sâu, nứt hoặc yếu, bọc sứ giúp tái tạo hình dạng, tăng độ bền và cải thiện chức năng ăn nhai.

+ Lớp sứ chắc chắn giúp bảo vệ toàn bộ răng khỏi lực nhai mạnh và tác động bên ngoài.

+ Đây là lựa chọn tối ưu cho bệnh nhân nghiến răng lâu năm.

Bọc răng sứ giá rẻ – giải pháp mòn chân răng

Máng chống nghiến – giải pháp không thể thiếu cho người nghiến răng

+ Máng nhựa y khoa ôm sát răng giúp giảm ma sát và lực nhai quá mạnh khi ngủ.

+ Bảo vệ mặt nhai khỏi bị mài mòn và giảm nguy cơ nứt gãy răng.

+ Đây là phương pháp hỗ trợ bắt buộc trong điều trị mòn răng lâu dài.

Điều trị nha chu – giúp giảm ê buốt và ngăn mòn tiến triển

+ Lấy cao răng, làm sạch nướu giúp loại bỏ vi khuẩn gây viêm, từ đó giảm nguy cơ tụt nướu và lộ chân răng.

+ Nướu khỏe mạnh sẽ hỗ trợ răng vững chắc và hạn chế mòn lan rộng.

Phòng ngừa mòn răng tại nhà – đơn giản nhưng cực kỳ hiệu quả

+ Hạn chế đồ uống axit và nước có gas, đặc biệt không nên uống vào buổi tối khi lượng nước bọt giảm.

+ Dùng bàn chải lông mềm, đánh răng nhẹ nhàng, ưu tiên phương pháp xoay tròn thay vì chải ngang mạnh.

+ Không chải răng ngay sau khi uống nước chanh hoặc ăn đồ chua, vì men răng lúc này mềm dễ bị mài mòn.

+ Uống nhiều nước trong ngày, giúp tăng tiết nước bọt – lớp bảo vệ tự nhiên chống mòn răng.

+ Tránh cắn đá, cắn móng tay, cắn bút, những thói quen tưởng vô hại nhưng gây mòn và nứt răng rất nhanh.

+ Khám răng định kỳ 6 tháng/lần tại Nha Khoa Dr Thành Lê để phát hiện sớm mòn răng và được điều trị kịp thời.

Mòn răng là vấn đề không thể xem nhẹ vì ảnh hưởng đến cả sức khỏe, chức năng ăn nhai và thẩm mỹ lâu dài. Càng điều trị sớm, khả năng phục hồi răng thật càng cao, chi phí càng thấp và quy trình càng đơn giản.

Nếu bạn đang tìm nơi điều trị mòn răng uy tín – nhẹ nhàng – chi phí hợp lý, Nha Khoa Dr Thành Lê – Nha khoa giá rẻ Đống Đa Hà Nội là lựa chọn phù hợp với đầy đủ dịch vụ phục hồi răng mòn từ nhẹ đến nặng.

—————————————

HỆ THỐNG NHA KHOA THẨM MỸ DR THÀNH LÊ

CƠ SỞ  HÀ NỘI

Địa chỉ: 73 Hoàng Cầu (Tầng 7)

Điện thoại: 0985.636.000

Leave a Reply

Your email address will not be published. Required fields are marked *