Bọc sứ trên răng đã trám được không là thắc mắc của rất nhiều khách hàng khi răng từng bị sâu, mẻ và đã được trám trước đó. Thực tế, không ít trường hợp miếng trám xuống màu, bong sút hoặc không còn đảm bảo tính thẩm mỹ, khiến nhiều người muốn bọc răng sứ để cải thiện nụ cười. Tuy nhiên, liệu răng đã trám có đủ điều kiện để bọc sứ hay không, có ảnh hưởng đến độ bền và tuổi thọ răng sứ? Hãy cùng Nha Khoa Dr Thành Lê – nha khoa bọc sứ giá rẻ tại Đống Đa Hà Nội tìm hiểu chi tiết ngay trong bài viết dưới đây.
Khi nào nên bọc răng sứ?
Những trường hợp nên bọc răng sứ:
- Khi răng bị sâu, viêm tủy, vỡ lớn
- Khi răng thưa kẽ, lệch lạc, hở kẽ, răng hô nhẹ
- Khi răng nhiễm màu và sủ dụng các phương pháp tẩy trắng răng không hiệu quả
- Khi bị mất một hoặc nhiều răng, bác sĩ sẽ chỉ định làm cầu răng sứ để khôi phục răng đã mất
+ Bọc sứ cho răng sâu
Bọc răng sứ cho răng sâu được không? Bệnh nhân bị sâu răng nếu không được điều trị sớm sẽ dẫn đến viêm tủy, hoại tử tủy, nhiễm trùng răng và các biến chứng nguy hiểm khác.
Phương pháp trám răng mà các nha khoa thường áp dụng cho những trường hợp sâu răng ở giai đoạn đầu là thực hiện trám răng composite thẩm mỹ. Chất trám sẽ ngăn chặn không cho vi khuẩn, hóa chất, nhiệt độ tấn công vào bên trong răng gây hại tủy.
Đối với những trường hợp răng sâu lớn, đã lấy tủy thì phương pháp trám răng thông thường không có tác dụng. Bác sĩ sẽ kiểm tra tình trạng chân răng, nếu vẫn vững chắc có thể thực hiện bọc răng sứ để ngăn chặn tình trạng sâu răng.
Phần răng sứ bọc bên ngoài sẽ bảo vệ cùi răng thật tránh những tác động bên ngoài, ngăn chặn sự phát triển của vi khuẩn gây sâu răng một cách triệt để.
+ Bọc sứ cho răng hư, răng chữa tủy
Răng lấy tủy có nên bọc lại? Răng bị chết tủy sẽ rất dễ bị giòn và gãy. Phương pháp bọc răng sứ bảo vệ răng thật bên trong. Khi quá trình chữa tủy hoàn tất, bạn sẽ có một hàm răng đều, khỏe, đảm bảo tính thẩm mỹ cao.
Răng sau khi chữa tủy sẽ rất yếu, nếu không tiến hành bọc sứ sẽ rất dễ bị viêm nhiễm, hư tổn. dễ dàng mất răng vĩnh viễn.
+ Bọc sứ cho răng không đều
Đối với những trường hợp răng mọc không đều, mọc nghiêng, mọc lệch,… thì bọc răng sứ là phương pháp mang lại cho bạn hàm răng đều, đẹp, đảm bảo thẩm mỹ cao. Bọc răng sứ cho răng không đều sẽ giúp tiết kiệm thời gian hơn rất nhiều so với phương pháp niềng răng.
Bệnh nhân nên thực hiện bọc răng sứ toàn hàm sẽ mang lại hiệu quả toàn diện, thay đổi thẩm mỹ toàn bộ hàm răng.
+ Bọc sứ cho răng hô, móm
Trong những trường hợp hô móm có nguyên nhân từ răng chứ không phải do xương hàm thì bọc sứ cho răng hô, móm có thể giải quyết được.
Khi răng mọc chìa ra ngoài, ôm lấy răng hàm đối diện, bằng việc mài đi những chiếc cùi răng thật, phần răng sứ thay thế sẽ đảm bảo được chế tác đúng khớp cắn. Mang lại cho bệnh nhân một hàm răng đều, đẹp, khớp cắn chuẩn.
+ Bọc sứ cho răng thưa, hở kẽ
Phương pháp trám thẩm mỹ sẽ không có hiệu quả với những trường hợp răng bị thưa nhiều do dễ bong tróc và thiếu thẩm mỹ.
Trong những trường hợp này bạn nên tiến hành bọc sứ cho răng thưa để che đi các kẽ hở giữa các răng, không gây thêm trở ngại trong vấn đề ăn uống, thẩm mỹ. Bọc răng sứ cũng giống răng thật hơn, không khiến bạn ngại ngùng khi giao tiếp.
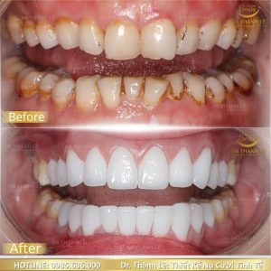
+ Bọc sứ cho răng ố vàng, nhiễm màu nặng
Người bị nghiện thuốc lá lâu ngày, ăn uống nhiều thực phẩm màu, không vệ sinh răng kỹ càng; trẻ em có răng bị nhiễm màu tetracyclin do mẹ dùng quá nhiều thuốc kháng sinh trong quá trình mang thai và nhiều nguyên nhân khác khiến răng bị nhiễm màu nặng.
Đối với những trường hợp này, việc tẩy trắng răng sẽ không có tác dụng. Phương pháp bọc răng sứ cho răng ố vàng sẽ giúp bạn có một hàm răng trắng đẹp, đều màu.
Bọc sứ cho răng ố vàng, nhiễm màu
Những trường hợp không nên bọc sứ
+ Sai lệch khớp cắn nặng do cấu trúc xương hàm
Đối với những trường hợp sai lệch khớp cắn (hô, móm) do cấu trúc xương hàm thì phương pháp bọc răng sứ thẩm mỹ không có tác dụng. Bạn bắt buộc phải phẫu thuật, đưa xương hàm về đúng vị trí khớp cắn.
+ Răng quá nhạy cảm
Nếu răng bạn là loại răng quá nhạy cảm thì bạn cũng không nên bọc răng sứ. Vì trong quá trình trồng răng sứ bắt buộc phải tiến hành mài cùi răng thật. Công đoạn này sẽ làm tổn thương đến cấu trúc răng thật, khiến răng càng trở nên nhạy cảm hơn, khiến bạn không thể ăn uống bình thường được.
+ Răng bị lung lay
Đối với người trưởng thành, khi răng đã bị lung lay thì đồng nghĩa với việc răng đó không còn sử dụng được nữa. Chân răng đã không còn chắc chắn, cộng thêm việc mài cùi răng thì chỉ làm răng yếu hơn, không hề có tác dụng ăn nhai, thẩm mỹ. Đối với trường hợp răng lung lay, tốt nhất là bạn nên nhổ bỏ và trồng răng mới.
+ Răng bị sâu, viêm nha chu, nhiễm trùng nặng
Đối với những trường hợp này, việc điều trị theo các phương pháp khác hoàn toàn không có tác dụng phục hồi răng thật. Răng bị hư hại, nhiễm trùng nặng cũng không thể thực hiện mài cùi để bọc sứ.Trường hợp nên cũng nên nhổ bỏ răng, trồng lại răng giả.
Răng đã trám có bọc sứ được không?
Răng trám có bọc sứ được không? Câu trả lời là răng đã trám hoàn toàn có thể bọc răng sứ được. Bọc răng sứ để khắc phục tình trạng răng trám bị hỏng hoặc không đảm bảo chất lượng sau khi trám. Mão răng sứ thay thế miếng trám cũ và bảo vệ răng tốt hơn, cải thiện cả hình dáng và màu sắc cho răng thật.
Các trường hợp nên thay lớp trám cũ thành bọc sứ:
+ Răng đã trám bị nhức
Kỹ thuật trám không đạt hiểu quả, răng có thể bị viêm gây đau nhức răng đã trám.
+ Răng đã trám bị mẻ, bể
Trám răng chỉ là phương pháp phục hình tạm thời, miếng trám bị bong tróc, mẻ hoặc bể sau một thời gian dài sử dụng.
Trám răng bị cộm sẽ gây ảnh hưởng đến quá trinh bọc sứ
+ Răng trám bị sâu lại
Răng đã trám vẫn có nguy cơ bị sâu lại do tắc động của môi trường trong khoang miệng và việc vệ sinh răng miệng không sạch.
+ Răng trám bị xỉn màu
Chất liệu trám răng rất dễ bám màu nếu bệnh nhân thường xuyên sử dụng thực phẩm có màu đậm như cà ri, cà phê hoặc hút thuốc lá lâu ngày. Việc trám thay mới hoặc bọc răng sứ là cần thiết để đảm bảo tính thẩm mỹ cho răng.
Lợi ích của việc bọc răng sứ
Bọc sứ giá rẻ tại Dr Thành Lê – Chuyên gia Thẩm Mỹ Răng Sứ
Không chỉ giải quyết được các vấn đề trám răng có bọc sứ được không để hư tổn của răng miệng, bọc răng sứ còn mang tới những hiệu quả nổi bật:
+ Nâng cao chức năng ăn nhai
Răng sứ sau khi bọc khít đều và có độ bền, độ chịu lực cao (từ 360 – 900MPa, trong khi răng thật là 80 – 120MPa).
+ Bảo vệ răng thật
Việc bọc răng sứ bên ngoài giúp ngăn ngừa thức ăn, mảng bám, vi khuẩn xâm nhập và phá hủy răng thật. Lớp sứ cứng chắc còn giúp ngăn chặn tình trạng sâu răng, viêm tủy, nứt nẻ răng tiếp diễn.
+ Cải thiện phát âm
Tất cả các vấn đề về biến đổi phát âm, không chuẩn tông, không tròn vành rõ chữ sẽ được giải quyết khi bạn có một hàm răng đều, đẹp. Điều đó giúp bạn tự tin hơn trong giao tiếp hoặc khi đứng trước đám đông.
+ Thoải mái, thuận tiện
So với việc đeo niềng răng thì trường hợp bọc răng sứ không gây cản trở trong hoạt động cơ miệng hay gây tổn thương các mô mềm. Việc vệ sinh răng miệng cũng đơn giản và không có quá nhiều yêu cầu, phức tạp.
Răng đã trám hoàn toàn có thể bọc sứ, nhưng cần được bác sĩ thăm khám kỹ lưỡng để đánh giá tình trạng mô răng, độ bám của miếng trám cũng như sức khỏe răng miệng tổng thể. Việc bọc sứ đúng kỹ thuật không chỉ giúp bảo vệ răng tốt hơn mà còn mang lại tính thẩm mỹ cao và độ bền lâu dài.
Nếu bạn đang băn khoăn không biết răng trám của mình có bọc sứ được hay không, hãy đến Nha Khoa Dr Thành Lê – nha khoa bọc sứ giá rẻ uy tín tại Đống Đa Hà Nội để được tư vấn trực tiếp, lên phương án điều trị phù hợp và an tâm sở hữu nụ cười đẹp, chắc khỏe.
—————————————
HỆ THỐNG NHA KHOA THẨM MỸ DR THÀNH LÊ
CƠ SỞ HÀ NỘI
Địa chỉ: 73 Hoàng Cầu (Tầng 7)
Điện thoại: 0985.636.000





